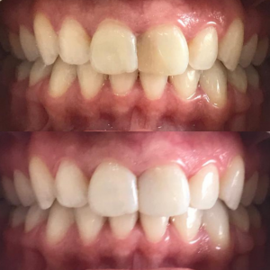
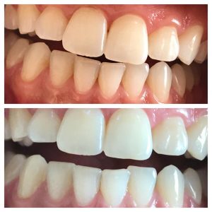
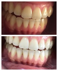
Com o passar dos anos e com a ingestão de bebidas e alimentos corados, cigarros, medicamentos, nossos dentes tendem a escurecer e ficarem opacos. Para resolver este problema hoje temos o clareamento dental.
O clareamento consiste em utilizar produtos para alterar a coloração do dente.É uma maneira simples e prática de retirar a aparência amarelada dos dentes. Após o procedimento é notável a melhora na tonalidade da superfície, que se torna mais clara, deixando os dentes esteticamente mais bonitos
O clareamento funciona apenas em dentes naturais.Coroas ou facetas de porcelana e restaurações em resina não mudam de cor através do clareamento dentário.
Existem duas formas de se fazer este procedimento, podendo ser realizado em casa pelo paciente com os materiais e orientação do dentista ou ainda ser realizado no consultório com a aplicação de produtos.
Independente do método utilizado, o tratamento é seguro, eficaz e tem resultado de um sorriso mais branco.


