Um belo sorriso é um excelente cartão de visitas.
Sempre levando em conta a saúde e a funcionalidade, tratamentos melhoram a estética do sorriso, alterando a cor, forma e tamanho dos dentes.
Atualmente, na literatura, se diferencia facetas e lentes de contato pela espessura da peça ou pela necessidade ou não de desgastes dentários.
Aplica-se lâminas diretamente sobre os dentes que serão modificados.
O resultado é bem natural, resistente, permitindo um sorriso alinhado, devolvendo a autoestima ao paciente.
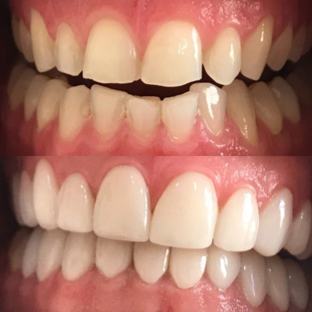
Resultados:

Paciente chegou ao consultório insatisfeito com o desgaste e posicionamento dentário nas duas arcadas, assim como a cor um pouco amarelada.
Foi proposto à ele facetas em porcelana em 10 dentes superiores e 10 inferiores, alinhando e aumentando a altura dos dentes, e também escolhendo uma cor mais clara do que seus dentes naturais.
Ao final, foi feita uma placa protetora , pois o paciente tem bruxismo noturno( range os dentes).
Resultado final com o paciente ficando super satisfeito com o resultado e devolvendo a estética que ele tanto almejava.

