A resina é um excelente material para compor parte dos dentes, podendo ser trabalhada com diferentes tonalidades e nuances para reproduzir a cor original dos dentes naturais.
As restaurações em resina composta são feitas diretamente nos dentes.
Permitem com que se consiga realizar restaurações altamente estéticas, imperceptíveis e com uma excelente durabilidade, devolvendo a forma e função dos dentes que foram perdidas.
Resultados:
Realização de faceta em resina em dente anterior. Paciente se queixava do escurecimento do dente incisivo central em relação aos demais dentais e isto à incomodava muito em relação à estética. Foi realizado um preparo do dente e confeccionada faceta em resina, buscando a melhora da cor e estética. No dente incisivo lateral foi feita a troca da restauração em resina, pois a mesma encontrava- se escurecida.
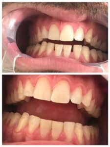
Fechamento de diastemas ( espaços entre os dentes) em resina na arcada inferior. Feito em uma única sessão e sem nenhum desgaste dentário.
Fechamento de diastema( espaço entre os dentes) com resina composta nos dentes incisivos centrais. Tratamento feito em uma única sessão e sem nenhum tipo de desgaste dentário.


